Biograph Vision: Nová dimenzia precíznosti
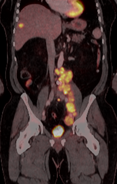
Aktuálny trend v zdravotnej starostlivosti je liečba presne na mieru pacienta – precízna medicína. Unikátne PET/CT skenery umožňujú v plnej miere tento trend naplniť aj na Slovensku. Bratislavská spoločnosť Biont je v rámci nukleárnej medicíny špecialistom na pozitrónovú emisnú tomografiu (PET). Nedávno spustila prevádzku revolučného PET/CT skenera Biograph Vision. Ide o prvú inštaláciu digitálneho PET/CT systému na Slovensku a zároveň predstavuje najmodernejší prístroj v tejto oblasti, ktorý bude poskytovať lepšiu, presnejšiu a šetrnejšiu starostlivosť pre pacientov z celého Slovenska. Hľadanie svietiacich bodov Biograph Vision vďaka jedinečnej digitálnej polovodičovej technológii SiPM detektorov je prístrojom s najdetailnejším zobrazením na trhu a s najvyššou účinnou senzitivitou. „Pomáha skrátiť čas skenovania a znížiť aplikovanú dávku rádiofarmaka. Znižuje tým nielen náklady na vyšetrenie, ale predovšetkým čas vystavenia pacienta radiačnej záťaži. Zároveň umožňuje zobraziť aj men ...Článok je uzamknutý
Pokračovanie článku patrí k prémiovému obsahu pre predplatiteľov. S digitálnym predplatným už od 10 € získate neobmedzený prístup k uzamknutému obsahu na celý rok. Objednať si ho môžete TU. Ak ho už máte prihláste sa TU
Prihlásiť pomocou členstva PC REVUE
