Nosové kvapky môžu pomôcť v boji proti rakovine mozgu
KĽÚČOVÉ ZISTENIA:
-
Nová metóda využíva nosovú dutinu na obídenie mozgovej bariéry.
-
Liečba aktivuje imunitný systém priamo v mozgu.
-
Kombinácia s imunoterapiou viedla k úplnému vyliečeniu.
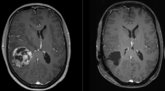
Glioblastóm patrí medzi najagresívnejšie a najsmrteľnejšie formy rakoviny mozgu. Pacienti s touto diagnózou majú často veľmi zlú prognózu, čiastočne preto, že doručenie liečiv do mozgu je extrémne náročné.
Mozog je chránený tzv. hematoencefalickou bariérou, ktorá bráni prieniku škodlivých látok z krvi, no bohužiaľ rovnako účinne blokuje aj väčšinu chemoterapeutík. Vedci z Washington University v St. Louis však prišli s prelomovým riešením, ktoré túto bariéru neprekonáva silou, ale ju elegantne obchádza – cez nos.
Výskumný tím vyvinul špeciálne nosové kvapky, ktoré obsahujú nanočastice schopné cestovať pozdĺž čuchových a trojklaných nervov priamo do centrálneho nervového systému. Táto cesta „nos-mozog“ umožňuje doručiť liečivo priamo k nádoru bez nutnosti invazívnej operácie alebo nebezpečných injekcií do mozgovomiechového moku.

Zdroj foto: Ars Neurochirurgica/Wikimedia/CC 4.0
Kľúčovou zložkou liečby nie je toxická chémia, ale látka, ktorá stimuluje vlastný imunitný systém pacienta, aby zaútočil na rakovinové bunky. Konkrétne ide o aktiváciu cesty STING (Stimulator of Interferon Genes), ktorá „označí“ nádor pre imunitné bunky. Výsledky predklinických testov na myšiach sú mimoriadne sľubné.
Keď vedci skombinovali tieto nosové kvapky s ďalším typom liečby (tzv. inhibítormi kontrolných bodov), podarilo sa im nádory nielen zmenšiť, ale v mnohých prípadoch úplne odstrániť. Ešte dôležitejšie je, že vyliečené myši si vybudovali imunologickú pamäť.
Keď sa im vedci pokúsili nádor znovu implantovať, ich telá ho okamžite rozpoznali a zničili, čo naznačuje ochranu pred recidívou. Hoci cesta k humánnym klinickým skúškam ešte potrvá, táto metóda predstavuje obrovskú nádej pre neinvazívnu liečbu mozgových ochorení.
PREČO JE TO DÔLEŽITÉ: Prekonanie hematoencefalickej bariéry je „svätým grálom“ neuro-onkológie. Ak sa účinnosť potvrdí u ľudí, nosové kvapky by mohli zmeniť smrteľnú diagnózu na liečiteľné ochorenie a otvoriť dvere pre liečbu aj iných neurologických chorôb.
Zdroj: sciencealert.com foto: depositphotos.com
Zobrazit Galériu