Nové zariadenie MRI na snímkovanie mozgu je menšie, mobilné a podstatne lacnejšie
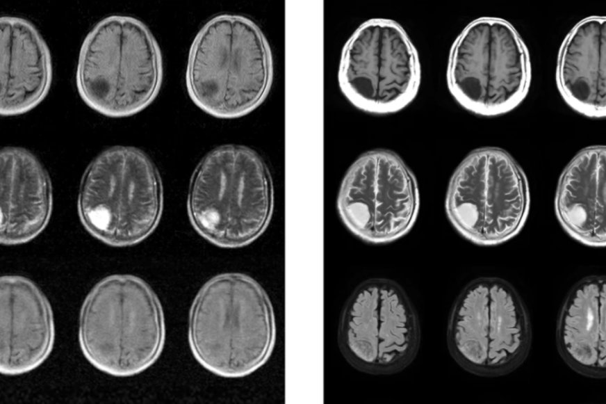
Vedci z Hongkonskej univerzity vyvinuli kompaktnejší a cenovo dostupnejší systém MRI, ktorý využíva oveľa menšie magnetické pole a nevyžaduje tienenie, pričom je schopný diagnostikovať poruchy mozgu u pacientov. Zobrazovanie magnetickou rezonanciou je technika na skenovanie mäkkých tkanív v tele, ktorá je obzvlášť účinná pri diagnostike problémov v mozgu, ako sú nádory, zranenia alebo mŕtvica. Pritom riziká sú tu oveľa nižšie ako pri iných zobrazovacích technikách, ako sú röntgenové lúče alebo CT vyšetrenia.
Menší a lacnejší prenosný prístroj MRI by mohol výrazne rozšíriť využitie technológie. Zatiaľ čo bežná magnetická rezonancia využíva magnetické polia so silou až 3 tesla (T), nový prístroj pracuje s ultranízkym poľom len 0,055 T. Vďaka menšiemu magnetickému poľu zariadenie nepotrebuje magnetickú tieniacu klietku ako tradičné prístroje MRI. Jednoduchosť a menšie rozmery znižujú aj náklady a požiadavky na energiu. Zariadenie môže byť napájané zo štandardnej elektrickej zásuvky a t ...
Článok je uzamknutý
Prihlásiť pomocou členstva NEXTECH
Zobrazit Galériu
Článok je uzamknutý
Pokračovanie článku patrí k prémiovému obsahu pre predplatiteľov. S digitálnym predplatným už od 10 € získate neobmedzený prístup k uzamknutému obsahu na celý rok. Objednať si ho môžete TU. Ak ho už máte prihláste sa TU
Prihlásiť pomocou členstva NEXTECH